首页
期刊介绍
基本信息
微学报
期刊简介
获奖情况
被收录情况
文献计量学指标
期刊在线
优先发表
当期目录
过刊浏览
阅读排行
下载排行
编委会
订阅指南
下载中心
联系我们
English
高级检索
所有
标题
作者
关键词
摘要
DOI
栏目
地址
基金
中图分类号
首页
期刊介绍
基本信息
微学报
期刊简介
获奖情况
被收录情况
文献计量学指标
期刊在线
优先发表
当期目录
过刊浏览
阅读排行
下载排行
编委会
订阅指南
下载中心
联系我们
English
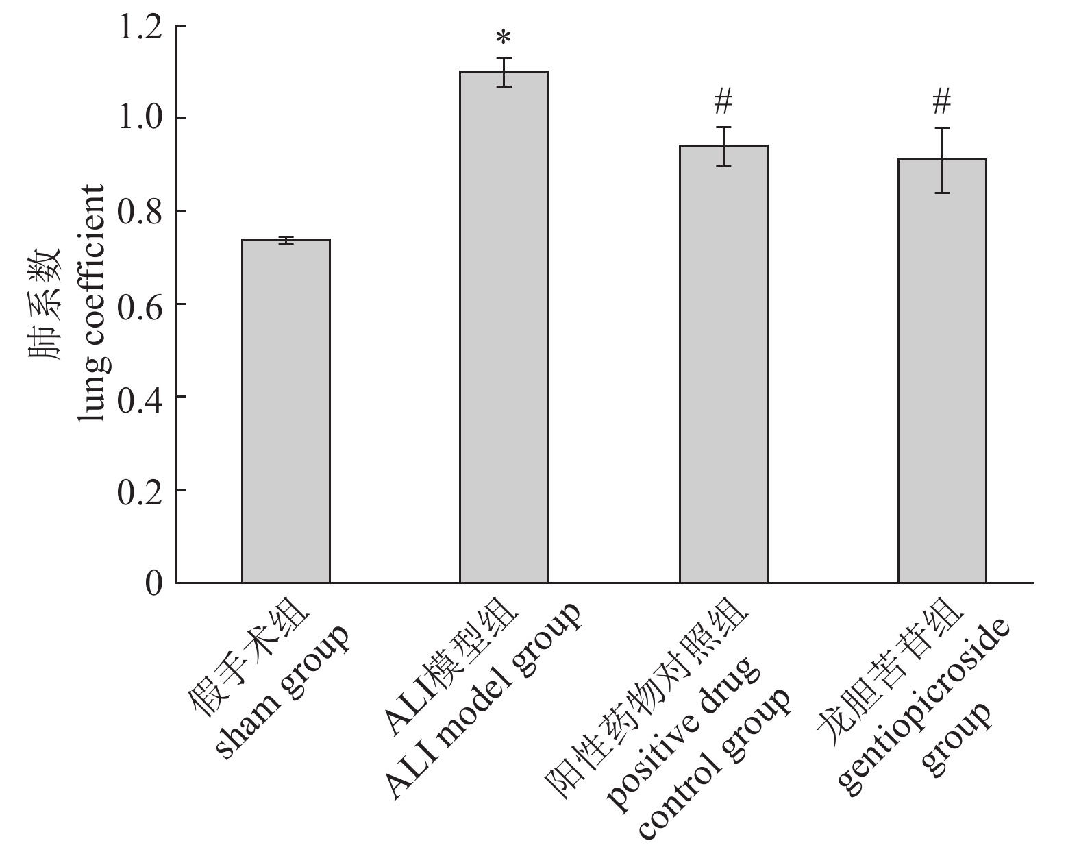
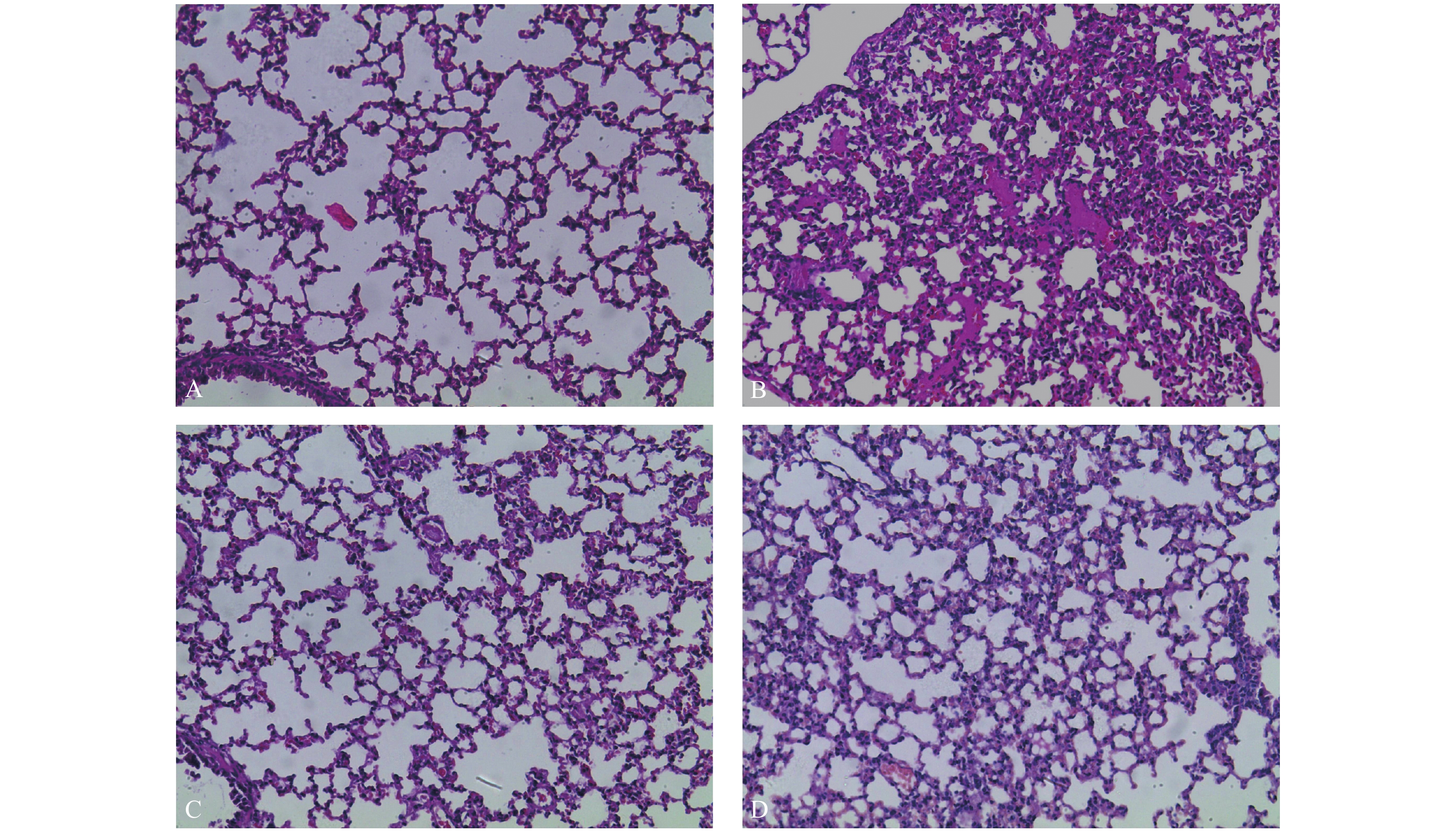
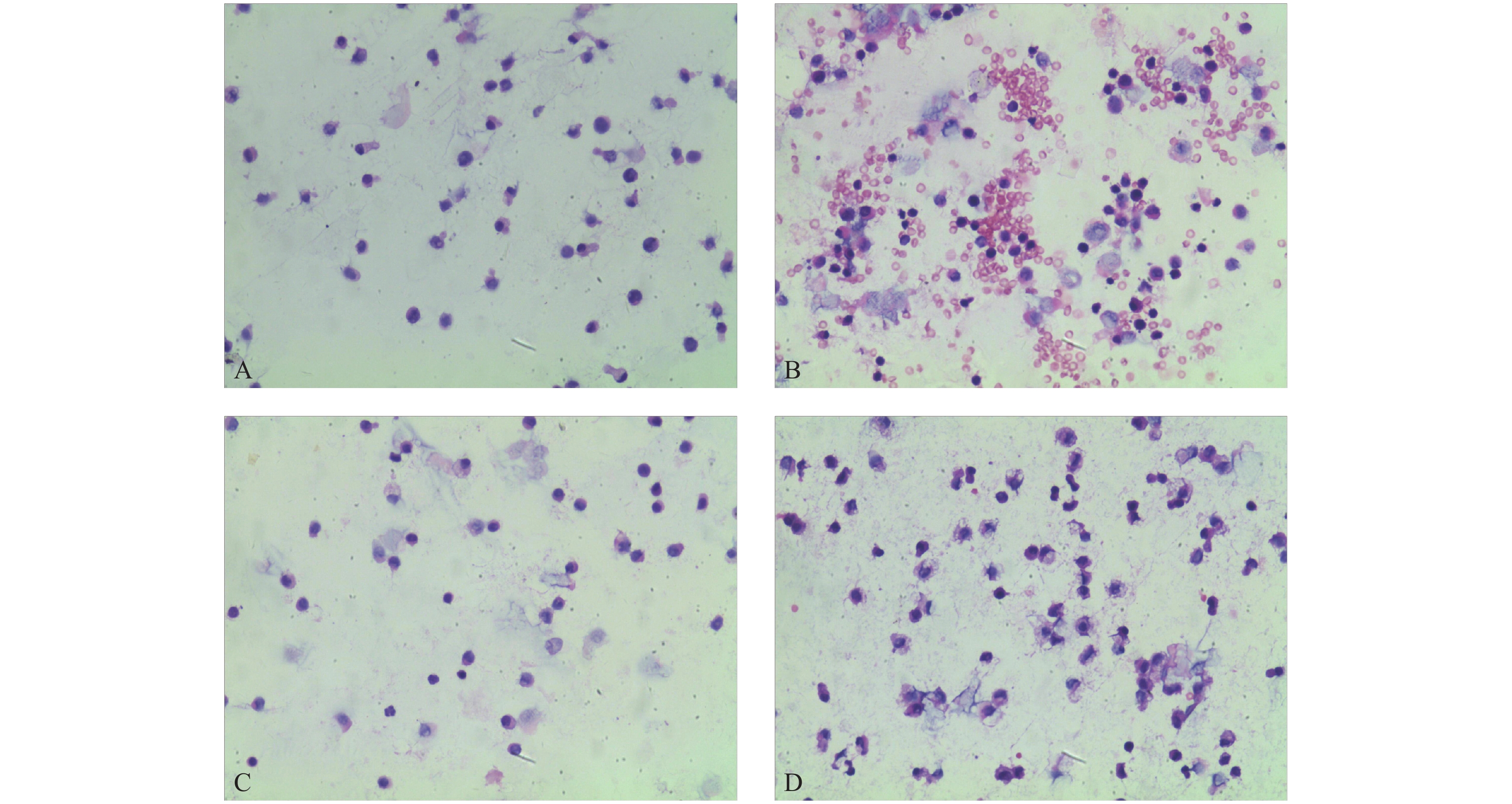
龙胆苦苷抗急性肺损伤活性研究
张丽
,
王永艳
,
王应霞
,
尹健彬
,
成梦群
,
张旋
Anti-acute Lung Injury Activity of Gentiopicroside
Li ZHANG
,
Yongyan WANG
,
Yingxia WANG
,
Jianbin YIN
,
Mengqun CHENG
,
Xuan ZHANG
HTML全文
图
(4)
表
(0)
参考文献
(15)
相关文章
施引文献
资源附件
(0)
HTML全文
参考文献
(15)
相关文章
施引文献
资源附件
(0)
/
下载:
全尺寸图片
幻灯片
返回文章
分享
用微信扫码二维码
分享至好友和朋友圈
返回